Reviews [verified written recommendation]
Outcome following following corrective surgery in older patient
January 2024
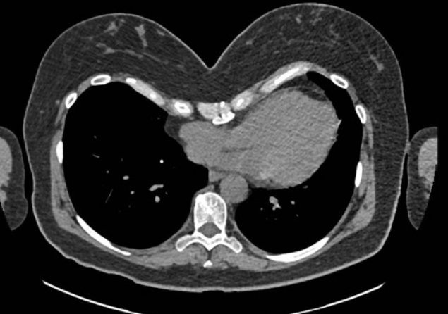
JC, 62-year-old with severe pectus excavatum and significant physical symptoms.


Chest CT before surgery showing severe pectus excavatum with Haller index 4.5

Chest x-ray (lateral view) Following corrective surgery

