Reviews [verified written recommendation]
Modified Ravitch surgery relieved my symptoms
Oct 2018


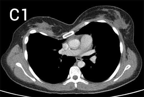
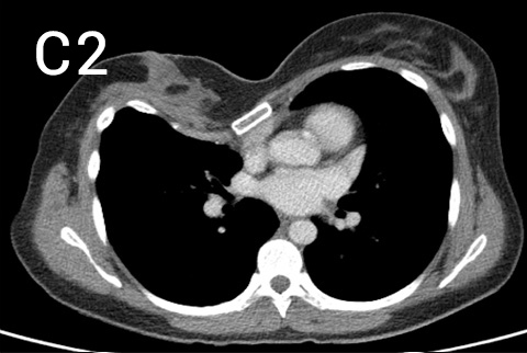
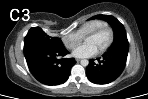
Pre-operative photos (A and B) with chest CT (C, multiple slices of upper (1), middle (2) and lower (3) chest) showing a long very asymmetrical pectus excavatum deformity in a 35 year old patient with striking symptoms of constrictive feeling in her chest






Post operative photos (D) 2 weeks after surgery and Gina’s thoughts after several months.
